lang="en">

Качественная имплантация и протезирование

Современные технологии для здоровья вашей улыбки. Индивидуальный подход к каждому пациенту.
Преимущества
  • Современный подход
    Используем передовые технологии и сертифицированные материалы для точной диагностики и лечения.
  • Ответственность и репутация
    Персональная ответственность за каждую коронку или лечение.
  • Комфорт и сервис
    Создаем уютную атмосферу и обеспечиваем внимательное отношение на каждом этапе вашего визита..
  • Выбор именно своего врача
    Вы выбираете не просто клинику, а конкретного специалиста.
Основная специализация
  • image alt
    Удаление
  • image alt
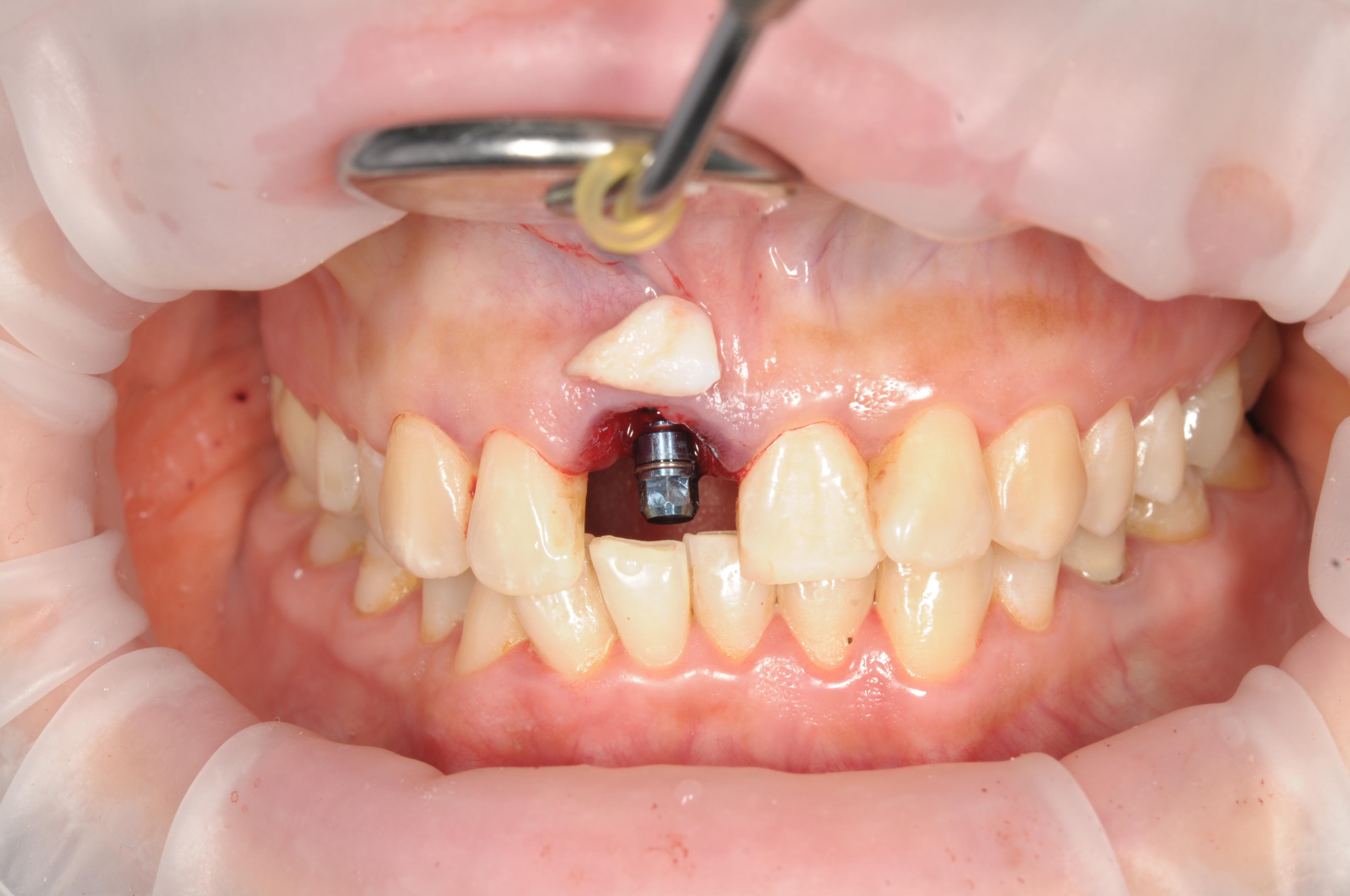
    Имплантация
  • image alt
    Костные пластинки
  • image alt
    Протезирование
  • image alt
    All on X
Сертификаты
  • goods image
  • goods image
  • goods image
  • goods image
  • goods image
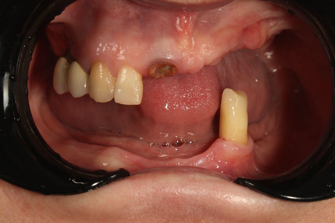
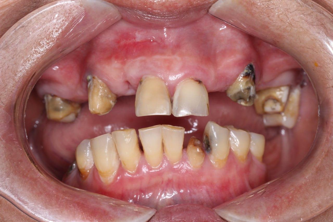
double image first part
double image second part
О специалисте
Виктор Рец
Почему стоит выбрать именно меня?

- Прием проходит без спешки, ровно столько времени, сколько нужно для решения вашей задачи.

- Я использую только проверенные современные материалы, так как моя репутация - это ваше доверие.

- Вы заранее знаете точный план и стоимость лечения. Никаких сюрпризов.

- Вы доверяете здоровье своей улыбки специалисту, для которого важен результат.
lang="en">

Видеопрезентация

Посмотрите видеопрезентацию. Всего 1 минута.
before
after
before
after
Виджет врача
Отзывы
Услуги
Консультация входят в стоимость
  • Простое удаление
    от 3000₽
  • Удаление 8-го моляра (зависит от сложности удаления)
    от 8 000₽ до 16 000₽
  • Установка импланта Osstem
    от 35 000₽
  • Костные пластики (рассчитывается индивидуально в зависимости от клин. случая , точный план лечения можно получить только после консультации)
    от 12 000 ₽
  • Коронка на импланте из диоксида циркона
    от 25 000 ₽
  • Закрытый синус лифтинг
    15 000 ₽
  • Открытый синус лифтинг
    35 000 ₽
  • Установка имплантов Osstem по протоколу все на 4
    220 000 ₽
  • Установка имплантов Osstem по протоколу все на 6
    280 000 ₽
  • Временна конструкция для протокола все на All on X
    60 000₽
  • Конструкция из Диоксида циркона All on X
    200 000₽
  • Конструкция из Титана/ Пластмассы All on X
    150 000₽
  • Протезирование:
  • Коронка из диоксида циркона в полную анатомию
    25 000₽
  • Коронка из диоксид циркона с нанесением керамики

    30 000₽
  • Коронка E-Max

    25 000₽
  • Керамическая вкладка/накладка

    25 000₽
  • Временная коронка на зуб/имплант

    10 000₽
  • Сплинт терапия

    50 000₽
  • Аксиография

    15 000₽
Получите скидку на лечение
Скидка составляет 5%
0
день
0
часов
0
минут
0
секунд
Подайте заявку
Заполните форму, и мы свяжемся с вами.
Какая услуга вас интересует?
Оставляя заявку, вы соглашаетесь на обработку персональных данных
Заявка оформлена
С вами свяжутся в течение 25 минут уточнить детали. Хорошего дня!
Craftum Сайт создан на Craftum